採用情報
お問い合わせ
お知らせ
ホーム
株式会社 高崎デンタルラボラトリー
会社案内
製品案内
症例紹介
ミリングセンター
セミナー情報
スタッフ紹介
会社案内
製品案内
症例紹介
ミリングセンター
セミナー情報
スタッフ紹介
採用情報
お知らせ
お問い合わせ
ホーム
株式会社 高崎デンタルラボラトリー
MENU
症例紹介
case referral
症例紹介
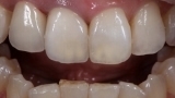
ジルコニアオールセラミックス
臨床例:1
臨床例:2
臨床例:3
臨床例:4
臨床例:5
臨床例:6
臨床例:7
臨床例:8
臨床例:9
臨床例:10
臨床例:11
臨床例:12
臨床例:13
オールセラミックラミネートべニア
臨床例:1
臨床例:2
臨床例:3
臨床例:4
臨床例:5
PC版を見る
スマートフォン版を見る
PAGE TOP