採用情報
お問い合わせ
お知らせ
ホーム
株式会社 高崎デンタルラボラトリー
会社案内
製品案内
症例紹介
ミリングセンター
セミナー情報
スタッフ紹介
会社案内
製品案内
症例紹介
ミリングセンター
セミナー情報
スタッフ紹介
採用情報
お知らせ
お問い合わせ
ホーム
株式会社 高崎デンタルラボラトリー
MENU
症例紹介
case referral
症例紹介
.
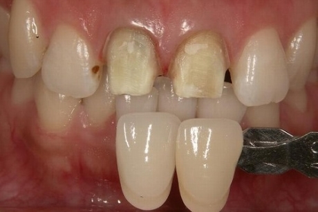
オールセラミックラミネートべニア臨床例:3
提供:姫路市 北中歯科医院様
ボンディッドセラミック(耐火模型)
やはり少し黒くなってしまいました。
右上1番に少し変色があったので、ジルコニアで作るべきでした。
反省
.
.
症例紹介一覧に戻る
PC版を見る
スマートフォン版を見る
PAGE TOP